PUBLICATIONS Nikki Koonjbearry 8/21/23 Nikki Koonjbearry 8/21/23 A Semi-Quantitative Assay to Measure Glycosaminoglycan Degradation by the Urinary Microbiota Read More Nikki Koonjbearry 8/21/23 Nikki Koonjbearry 8/21/23 Reduced urothelial expression of uroplakin-IIIa in cystitis areas in bladders of postmenopausal women with recurrent urinary tract infections: pilot study Read More Nikki Koonjbearry 8/21/23 Nikki Koonjbearry 8/21/23 A Survey of Statistical Methods for Microbiome Data Analysis Read More Nikki Koonjbearry 8/21/23 Nikki Koonjbearry 8/21/23 Carrier gas triggered controlled biolistic delivery of DNA and protein therapeutics from metal–organic frameworks Read More Nikki Koonjbearry 8/21/23 Nikki Koonjbearry 8/21/23 Intravesical VesiX as a Last Resort Therapy in Women With Antibiotic-Refractory Recurrent Urinary Tract Infections Contemplating Bladder Removal: A Preliminary Report Read More Nikki Koonjbearry 8/21/23 Nikki Koonjbearry 8/21/23 DigEST: Digital plug-n-probe disease Endotyping Sensor Technology Read More Nikki Koonjbearry 8/21/23 Nikki Koonjbearry 8/21/23 Gut-bladder axis enters the stage: Implication for recurrent urinary tract infections Read More Nikki Koonjbearry 8/21/23 Nikki Koonjbearry 8/21/23 Complete Genome Sequences of Three Lactobacillus gasseri Urine Isolates Obtained from Postmenopausal Women Read More Nikki Koonjbearry 8/21/23 Nikki Koonjbearry 8/21/23 Conserved FimK Truncation Coincides with Increased Expression of Type 3 Fimbriae and Cultured Bladder Epithelial Cell Association in Klebsiella quasipneumoniae Read More Nikki Koonjbearry 8/21/23 Nikki Koonjbearry 8/21/23 Recurrent urinary tract infection and estrogen shape the taxonomic ecology and function of the postmenopausal urogenital microbiome Read More Nikki Koonjbearry 8/21/23 Nikki Koonjbearry 8/21/23 Urinary Glycosaminoglycans Are Associated with Recurrent UTI and Urobiome Ecology in Postmenopausal Women Read More Nikki Koonjbearry 8/21/23 Nikki Koonjbearry 8/21/23 Aging-Associated Augmentation of Gut Microbiome Virulence Capability Drives Sepsis Severity Read More Nikki Koonjbearry 8/21/23 Nikki Koonjbearry 8/21/23 Self-assembly of a fluorescent virus-like particle for imaging in tissues with high autofluorescence Read More Nikki Koonjbearry 8/21/23 Nikki Koonjbearry 8/21/23 Inter-species diversity and functional genomic analyses of closed genome assemblies of clinically isolated, megaplasmid-containing Enterococcus raffinosus Er676 and ATCC49464 Read More Nikki Koonjbearry 8/1/23 Nikki Koonjbearry 8/1/23 Direct Detection of Tissue-Resident Bacteria and Chronic Inflammation in the Bladder Wall of Postmenopausal Women with Recurrent Urinary Tract Infection Read More Newer Posts
Nikki Koonjbearry 8/21/23 Nikki Koonjbearry 8/21/23 A Semi-Quantitative Assay to Measure Glycosaminoglycan Degradation by the Urinary Microbiota Read More
Nikki Koonjbearry 8/21/23 Nikki Koonjbearry 8/21/23 Reduced urothelial expression of uroplakin-IIIa in cystitis areas in bladders of postmenopausal women with recurrent urinary tract infections: pilot study Read More
Nikki Koonjbearry 8/21/23 Nikki Koonjbearry 8/21/23 A Survey of Statistical Methods for Microbiome Data Analysis Read More
Nikki Koonjbearry 8/21/23 Nikki Koonjbearry 8/21/23 Carrier gas triggered controlled biolistic delivery of DNA and protein therapeutics from metal–organic frameworks Read More
Nikki Koonjbearry 8/21/23 Nikki Koonjbearry 8/21/23 Intravesical VesiX as a Last Resort Therapy in Women With Antibiotic-Refractory Recurrent Urinary Tract Infections Contemplating Bladder Removal: A Preliminary Report Read More
Nikki Koonjbearry 8/21/23 Nikki Koonjbearry 8/21/23 DigEST: Digital plug-n-probe disease Endotyping Sensor Technology Read More
Nikki Koonjbearry 8/21/23 Nikki Koonjbearry 8/21/23 Gut-bladder axis enters the stage: Implication for recurrent urinary tract infections Read More
Nikki Koonjbearry 8/21/23 Nikki Koonjbearry 8/21/23 Complete Genome Sequences of Three Lactobacillus gasseri Urine Isolates Obtained from Postmenopausal Women Read More
Nikki Koonjbearry 8/21/23 Nikki Koonjbearry 8/21/23 Conserved FimK Truncation Coincides with Increased Expression of Type 3 Fimbriae and Cultured Bladder Epithelial Cell Association in Klebsiella quasipneumoniae Read More
Nikki Koonjbearry 8/21/23 Nikki Koonjbearry 8/21/23 Recurrent urinary tract infection and estrogen shape the taxonomic ecology and function of the postmenopausal urogenital microbiome Read More
Nikki Koonjbearry 8/21/23 Nikki Koonjbearry 8/21/23 Urinary Glycosaminoglycans Are Associated with Recurrent UTI and Urobiome Ecology in Postmenopausal Women Read More
Nikki Koonjbearry 8/21/23 Nikki Koonjbearry 8/21/23 Aging-Associated Augmentation of Gut Microbiome Virulence Capability Drives Sepsis Severity Read More
Nikki Koonjbearry 8/21/23 Nikki Koonjbearry 8/21/23 Self-assembly of a fluorescent virus-like particle for imaging in tissues with high autofluorescence Read More
Nikki Koonjbearry 8/21/23 Nikki Koonjbearry 8/21/23 Inter-species diversity and functional genomic analyses of closed genome assemblies of clinically isolated, megaplasmid-containing Enterococcus raffinosus Er676 and ATCC49464 Read More
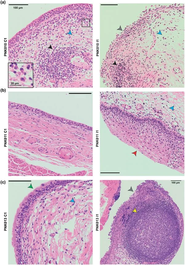
Nikki Koonjbearry 8/1/23 Nikki Koonjbearry 8/1/23 Direct Detection of Tissue-Resident Bacteria and Chronic Inflammation in the Bladder Wall of Postmenopausal Women with Recurrent Urinary Tract Infection Read More